Röntgenologischer Ausgangsbefund im Febr. 2003 mit caries profunda, starken Krümmungen sowohl der mesiobuccalen wie auch der distobuccalen Wurzeln
Pat. Initialien: AJ; Geschl.: weiblich; Alter: 27

Klinische Ausgangssituation
Klinische Ausgangssituation zur gleichen Zeit

Zustand unmittelbar vor Behandlungsbeginn
Zustand unmittelbar vor Behandlungsbeginn im Juni 2003. Die Fraktur des distalen Zahnanteils hat die Patientin jetzt zur Einwilligung in die Behandlung motiviert. Auffällig ist in dieser Projektion die besonders starke Krümmung der mb Wurzel sowie die knochennahe Defektlage distal. Es erfolgte zunächst die Kariesentfernung gefolgt von einer chirurgischen Kronenverlängerung zur Herstellung der biologischen Breite sowie Ermöglichung des sog. Ferrule-Effektes. Danach wurde der Zahn adhäsiv aufgebaut. Erst jetzt wurde mit der eigentlichen WKB begonnen

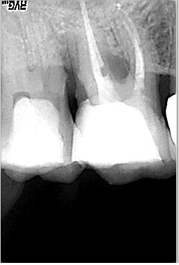
Röntgenmeßaufnahme
Röntgenmeßaufnahme nach vorgängig durchgeführter endometrischer Längenbestimmung

Klinische Situation nach abgeschlossener Aufbereitung
Klinische Situation nach abgeschlossener Aufbereitung

Vergrößerte Situation
Vergrößerte Situation; deutlich sind die 4 Kanaleingänge zu erkennen

Klinische Situation nach Wurzelfüllung
Klinische Situation nach Wurzelfüllung. Die WF wird gezielt unter Mikroskopkontrolle 2-3 mm unterhalb der Orificien abgetrennt

Adhäsiver Verschluss
Adhäsiver Verschluss der Zugangskavität mit Verankerung im oberen Wurzeldrittel. Ein Stiftaufbau ist nicht mehr erforderlich

WF-Langzeitkontrolle
WF-Langzeitkontrolle nach 5 Monaten im November 2003. Als abschließende, für den Langzeiterfolg zwingend notwendige Maßnahme ist nun die Überkronung des Zahnes geplant
Pat. Initialen: T.P.; Geschl.: männl.; Alter: 35

Röntgenologischer Ausgangsbefund
Röntgenologischer Ausgangsbefund im Januar 2003. Zustand nach Trepanation im Notdienst. Orthograde Projektion mit verbreitertem Parodontalspalt an der mesiobuccalen Wurzel

Distalexzentische Projektion
Distalexzentische Projektion mit zweitem Parodontalspalt in der mesiobuccalen Wurzel als deutlicher Hinweis für ein zusätzliches viertes Kanalsystem

Klinische Situation
Klinische Situation nach Exkavation

Klinische Situation
Klinische Situation nach Exkavation

Adhäsiver Aufbau
Adhäsiver Aufbau des Zahnes und dann erst beginnende Trepanation

Röntgenmeßaufnahme
Röntgenmeßaufnahme nach vorgängig durchgeführter endometrischer Längenbestimmung

Klinische Situation
Entsprechende klinische Situation mit den zunächst dargestellten Kanalsystemen (p, mb1 und db)

Situation vergrößert
Die gleiche Situation vergrößert. Der grüne Pfeil zeigt den winzigen oftmals nur zu erahnenden bzw. zu ertastenden Eingang von MB2

MB2 Kanaleingang
Mit einer 10er Handfeile wird der MB2 Kanaleingang dargestellt (grüner Pfeil). Der rote Pfeil zeigt die zu erwartende Lage des Kanaleinganges nach „Aufrichten“ des Kanales und zwar mesial der Verbindungslinie MB1-P

Zustand nach Aufbereitung
Zustand nach Aufbereitung von MB2, man beachte die mesiale Lage im Verhältnis zu MB1

Vergrößerte Darstellung
MB1 und MB2 vergrößert dargestellt

Masterpointaufnahme
Masterpointaufnahme

Klinische Situation
Klinische Situation mit eingeführten Masterpoints

WF Kontrolle
WF Kontrolle im Februar 2003. Dichte dreidimensionale Wurzelfüllung in vertikaler Kondensation erwärmter Guttapercha mit System B und Obtura 2

Langzeitkontrolle
Langzeitkontrolle 11 Monate nach WF; im Januar 2004 wurde eine Goldteilkrone eingegliedert
Pat. Initialen:W.E.; Geschl.: männl.; Alter: 63

Röntgenologischer Ausgangsbefund
Röntgenologischer Ausgangsbefund im August 2003 bei Zahn 16 mit apikaler Parodontits an der palatinalen Wurzel. Der eingeführte Guttaperchastift korrespondiert mit der distobuccalen Wurzelspitze

Distalexzentische Projektion
Distalexzentische Projektion mit zweitem Parodontalspalt in der mesiobuccalen Wurzel als deutlicher Hinweis für ein zusätzliches viertes Kanalsystem

Röntgenmeßaufnahme
Röntgenmeßaufnahme nach vorgängig durchgeführter endometrischer Längenbestimmung

Zustand nach Fraktur
Zustand nach Fraktur des distalen Keramikinlayanteils mit insuffizienter Abdichtung des Kofferdams

Abdichtung des Kofferdams
Abdichtung des Kofferdams mit Cavit. Zustand nach Aufbereitung von MB2, man beachte die mesiale Lage im Verhältnis zu MB

Masterpointaufnahme
Masterpointaufnahme

WF Kontrolle
WF Kontrolle im September 2003. Dichte dreidimensionale Wurzelfüllung in vertikaler Kondensation erwärmter Guttapercha mit System B und Obtura 2

Situation vergrößert
Die gleiche Situation vergrößert. Der grüne Pfeil zeigt den winzigen oftmals nur zu erahnenden bzw. zu ertastenden Eingang von MB2
Pat. Initialen:O.M.; Geschl.: männl.; Alter: 33

Röntgenologischer Ausgangsbefund
Röntgenologischer Ausgangsbefund im Mai 2003. bei Zahn 16 mit verbreitertem Parodontalspalt an der mesiobuccalen Wurzel in orthograder Projektion

Bearbeitetes Röntgenbild
Bearbeitetes Röntgenbild mit Hinweis auf mögliche zusätzliche Kanalsysteme MB2 und DB2 Zahn 17 ist nicht erhaltungsfähig

Röntgenmeßaufnahm
Röntgenmeßaufnahme nach vorgängig durchgeführter endometrischer Längenbestimmung von P, MB1 und DB1

Klinische Situation
Entsprechende klinische Situation mit den zunächst dargestellten Kanalsystemen P,MB1 und DB1(grüne Pfeile) sowie Kennzeichnung der später aufbereiteten MB2 und DB2 (rote Pfeile)

Vergrößerte Darstellung
Darstellung des MB2- Einganges

Vergrößerte Darstellung
Darstellung des Einganges von MB2 und DB2

Erneute Messaufnahme
Erneute Messaufnahme von MB1, MB2, DB1und DB2. Sowohl die distobuccalen wie auch die mesiobuccalen Kanalsysteme konfluieren etwa im mittleren Wurzeldrittel. Die grünen Pfeile markieren jeweils die Instrumentenspitzen

Masterpointaufnahme
Masterpointaufnahme

Klinische Situation
Klinische Situation vor dem Füllen mit den dargestellten fünf Kanalsystemen

WF Kontrolle
WF Kontrolle im August 2003. Dichte dreidimensionale Wurzelfüllung in vertikaler Kondensation erwärmter Guttapercha mit System B und Obtura 2

Klinische Ansicht
Klinische Ansicht nach Wurzelfüllung mit fünf abgefüllten Kanalsystemen

Zusätzliche WF Kontrolle.
Zusätzliche WF Kontrolle.




